وبلاگ

آرتروسکوپی زانو چیست؟ مزایا و مراقبت ها

عمل جراحی آرتروسکوپی زانو یک روش کم‌تهاجمی است که برای تشخیص و درمان مشکلات داخل مفصل زانو انجام می‌شود. در این جراحی، پزشک از یک دستگاه کوچک به نام آرتروسکوپ که مجهز به دوربین و نور است، استفاده می‌کند تا داخل مفصل زانو را از طریق برش‌های کوچک مشاهده کند. این روش برای ترمیم آسیب‌هایی […]

مدت زمان بهبودی بعد از آرتروسکوپی زانو

بسیاری از بیماران بعد از جراحی، این پرسش را دارند که مدت زمان بهبودی بعد از آرتروسکوپی زانو چقدر است و چه عواملی می‌تواند روند بازتوانی را تسریع یا کند کند. در ادامه به‌طور کامل به بررسی این موضوع می‌پردازیم. مدت زمان کلی بهبودی بعد از آرتروسکوپی زانو بهبودی بعد از این جراحی در افراد […]

ورزش‌های مناسب بعد از آرتروسکوپی زانو

بعد از این جراحی، روند توانبخشی و انتخاب ورزش‌های مناسب بعد از آرتروسکوپی زانو نقش بسیار مهمی در بازگشت فرد به زندگی روزمره و جلوگیری از عوارض احتمالی دارد. انجام تمرینات اصولی نه تنها به تقویت عضلات اطراف زانو کمک می‌کند، بلکه موجب بهبود دامنه حرکتی و افزایش پایداری مفصل می‌شود. در این مقاله به […]

درصد موفقیت آرتروسکوپی زانو

مطالعات نشان می‌دهند که درصد موفقیت آرتروسکوپی زانو بین ۸۰ تا ۹۵ درصد است، البته این میزان به عوامل مختلفی مانند نوع آسیب، سن بیمار، میزان آسیب‌دیدگی، مهارت جراح و رعایت مراقبت‌های بعد از عمل بستگی دارد. برای مثال: عوامل مؤثر بر موفقیت آرتروسکوپی زانو درصد موفقیت آرتروسکوپی زانو بسیار بالا می باشد اما باز […]

پروتز مفصل زانو و کاربرد آن

پروتز مفصل زانو یک قطعه مصنوعی است که برای جایگزینی مفصل آسیب‌دیده یا تخریب‌شده زانو به کار می‌رود. این عمل که با نام تعویض مفصل زانو نیز شناخته می‌شود، معمولاً برای افرادی انجام می‌شود که به دلیل بیماری‌هایی مانند آرتروز، آرتریت روماتوئید یا آسیب شدید، دچار درد مزمن و محدودیت حرکتی شده‌اند. هدف اصلی از […]

علت تکان خوردن کشکک زانو

کشکک به‌عنوان یک سپر محافظ برای مفصل زانو عمل کرده و از برخورد مستقیم ضربه به ساختارهای حساس درون مفصل جلوگیری می‌کند. حرکت کشکک در مسیر مشخصی انجام می‌شود که به آن شیار پاتلوفمورال گفته می‌شود. هرگونه تغییر در مسیر یا فشارهای غیرعادی می‌تواند باعث حس تکان خوردن کشکک زانو شود. علت‌های رایج تکان خوردن […]

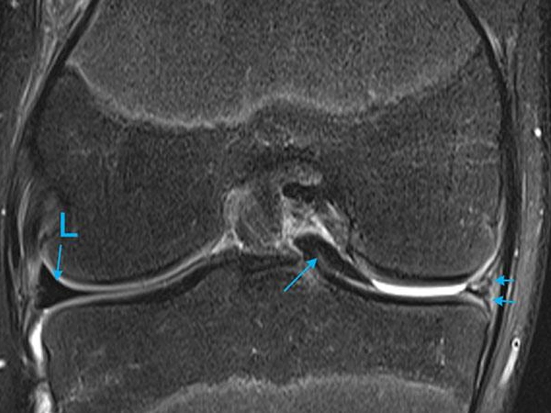
عکس mri پارگی مینیسک زانو

در بسیاری موارد، معاینه فیزیکی توسط پزشک می‌تواند پارگی مینیسک را مطرح کند، اما برای تأیید تشخیص، تعیین محل دقیق پارگی و نوع آن، تصویر MRI (تصویربرداری تشدید مغناطیسی) بهترین و دقیق‌ترین روش محسوب می‌شود. برخلاف رادیوگرافی معمولی که فقط استخوان‌ها را نشان می‌دهد، MRI توانایی نمایش کامل بافت‌های نرم از جمله مینیسک، رباط‌ها و […]

کمبود کدام ویتامین باعث صدا دادن مفاصل می شود؟

صدای مفاصل هنگام حرکت، موضوعی است که بسیاری از افراد تجربه می‌کنند. این صداها ممکن است ناشی از عوامل مختلفی باشند، از جمله کمبود برخی مواد مغذی و ویتامین‌ها. در این مقاله، به بررسی نقش کمبود ویتامین‌ها در بروز صدای مفاصل می‌پردازیم و توضیح می‌دهیم که چگونه می‌توانید با تغییرات در سبک زندگی و تغذیه، […]

انواع مشکلات زانو و نحوه درمان آن ها در کلینیک

زانو یکی از پیچیده‌ترین مفاصل بدن است که به دلیل تحمل وزن و تحرک بالا، مستعد آسیب‌ها و مشکلات متعددی است. این مفصل متشکل از استخوان‌ها، غضروف‌ها، رباط‌ها، مینیسک و عضلات است که هر یک ممکن است دچار اختلال شود. مشکلات زانو در این مقاله با انواع مشکلات شایع زانو و روش‌های درمان تخصصی آن‌ها […]

۱۰ راه درمان پارگی منیسک زانو

منیسک زانو دو غضروف نیم‌دایره‌ای‌شکل در داخل مفصل زانو هستند که مانند کمک‌فنر، وظیفه جذب فشار، پایداری و توزیع وزن در زانو را بر عهده دارند. پارگی منیسک یکی از شایع‌ترین آسیب‌های مفصل زانوست که می‌تواند به‌دلیل ضربه، چرخش ناگهانی یا فرسایش ناشی از افزایش سن ایجاد شود. پارگی منیسک زانو می‌تواند به‌صورت خفیف، متوسط […]

سندرم‌های بورسیت زانو

بورسیت زانو به التهاب یکی از بورس‌های اطراف مفصل زانو گفته می‌شود. بورس‌ها کیسه‌های کوچک حاوی مایع سینوویال هستند که بین استخوان‌ها، تاندون‌ها و عضلات قرار دارند و به کاهش اصطکاک کمک می‌کنند. زمانی که این کیسه‌ها به دلایلی مانند فشار مداوم، ضربه یا عفونت دچار التهاب شوند، اصطلاحاً گفته می‌شود فرد به بورسیت مبتلا […]

کیست بیکر زانو چیست و چگونه درمان می شود؟

کیست بیکر زانو (Baker’s cyst) یا کیست پوپلیتئال، به تجمع مایع مفصلی در پشت زانو گفته می‌شود که معمولاً به شکل یک برجستگی یا تورم نمایان می‌شود. این وضعیت اغلب ناشی از یک مشکل زمینه‌ای مانند التهاب، پارگی منیسک یا آرتروز است. نام این کیست از دکتر ویلیام بیکر، جراح انگلیسی قرن نوزدهم گرفته شده […]

جستجو